脳 Mri 萎縮
海馬のmri脳画像診断
福井脳神経外科 診療案内
最近のmri mraはどこまでできるの
てんわかかりつけ医院 アルコールと認知症 その2 Facebook
脳萎縮 Mri症例写真 の説明スライド 医療のイラスト 写真 動画 素材販売サイトのメディック Medick
メモリー 高次認知機能 ドック 医療法人社団 明芳会 横浜新都市脳神経外科病院
脳動脈の狭窄や閉塞により脳血管の支配領域の虚血が起こり、 脳組織が壊死 に陥る疾患。 障害部位により様々な局所神経症状を呈するが、基本は 血管支配領域に依存する (ある程度狭窄部位によりでる症状が決まってくる)。.
脳 mri 萎縮. Mriでは脳の萎縮の状態もわかり、認知症の診断に役立ちます。 脳梗塞 (ct) 髄膜腫 (mri) mri (エムアールアイ) 脳血流spect (スペクト) 脳の機能が低下すると、血流が低下します。. 健常者における脳の老化・萎縮様式を解明! 〜健常高齢者は認知機能が保たれている謎に迫る〜 ポイント 健常者293 例の頭部mri において脳全体を細分化したビッグデータを対象に、データ駆動型ア. 脳萎縮の診断には、 ctやmriによる画像診断が有用 です。 萎縮がある場合は、頭蓋骨と脳の間に隙間が確認できます。 症例 60歳代男性 脳幹出血後.
Mriでは3方向で小脳の場所を確認してみましょう。 造影t1強調像の矢状断像です。 横から見ている画像です。 大脳の下側;. CT MRI SPECT PET •脳血管性病変のの評価評価. 脳の萎縮度をmriで調べる「vsrad」という検査の結果、 関心領域内の萎縮の程度 1.98 脳全体の中で萎縮している領域の割合 4.02%.
認知症ではスクリーニング検査として,最初に脳の病変の有無や形態異常の確認についてCTもしくはMRI検査が行われる(Figure 1)。 CT,MRIは近年装置の技術進歩が著しく,一般的な装置でも高分解能の画像が提供されており,大脳や海馬の萎縮,脳溝の開大や脳室の拡張,腫瘍や出血などの病変. 筆者の経験では脳幹の橋・ 中脳被蓋部の萎縮より, 早期に認められるので, 早期の. Mri検査画像を用いた 早期アルツハイマー型認知症診断支援システム 『vsrad』(ブイエスラド)のご案内 mri画像を使って、脳の萎縮度をみる検査vsrad(ブイエスラド) によって、早期アルツハイマー型認知症診断の支援が可能となりました。.
脳mri画像検査における認知症診断とは? 主として脳の萎縮や出血、梗塞などの形態変化や脳血管に狭窄〜閉塞がないかを評価するのに用いられます。 とくに、 アルツハイマー病 で特徴的な 海馬や海馬傍回の萎縮 の有無をチェックします。. その中でMRI ※1 を使用して、体格指数BMI ※2 と脳の神経細胞が集まる灰白質 ※3 の関係を調べた研究(下のグラフ参照)では、BMIの高い人は灰白質の体積が少なく、 肥満は脳を萎縮させる原因である ことが明らかになってきました。. 17 頭蓋内占拠病変によるによる認知症 認知症((((脳腫瘍脳腫瘍))))のののMRI:MRI:MRI:治治治るるるる認知症認知症.
脳mriと脳ctのおはなし 脳のMRIでわかることの前に、まずは少しだけ脳のCTについて触れておきます。 MRIが登場してCTよりずっと多くの脳画像が作成できるようになっても、脳卒中(脳梗塞・脳出血・クモ膜下出血)の疑い患者については第一選択がCTである. そして昨年mriがもう一台は行ったので比較的、それまでフル活動だったmriに余裕ができたらしいというのでいって検査することに。 頭部mri+mra検査(約15分)に約6分追加撮影で検査が出来ます。 そしてわかるのは、 1.脳全体の萎縮の評価. 2.MRI検査 脳のMRI(Magnetic Resonance Imaging:磁気共鳴画像)は、頭蓋内の水素原子核からの信号をとらえて、頭蓋内の断面を画像化するものです。日常診療では、脳梗塞、脳出血、脳萎縮などの脳の病変の手がかりを調べる検査として用いられます。.
もの忘れ が気になる方々へ 日本メジフィジックス株式会社
賢い選択 頭の病気 下 mriやpetを使った認知症診断 発症の危険性 判定困難 毎日新聞
脳形態画像からアルツハイマー型を鑑別できる 日経メディカル
前頭側頭型認知症 脳科学辞典
認知症について 札幌ことにメンタルクリニック 旧 前田神経クリニック
脳ドック 予約制 須恵たかさき脳神経外科クリニック 福岡の脳神経外科 リハビリテーション科 頭痛 めまい 認知症 もの忘れ 脳 疾患リハビリなど 須恵 篠栗 飯塚 北九州
Q Tbn 3aand9gct6tl1a4m Gzhfufmjalqomlagaz3uagf7gtrbubyxcxtpwdpmr Usqp Cau
脳mri検査 医療法人社団 恵周会 白河病院 白河市
2歳時のmri あしたくのぼちぼち生活
脳ドック 画像診断 医療法人 秀放会 仙台総合放射線クリニック
撮って診る認知症genki55 Net 画像検査で認知症診断
認知症の画像診断 その1 Iroop
28 脳の画像検査で何がわかる 脳 循環器病あれこれ 国立循環器病研究センター 循環器病情報サービス
遺伝性白質疾患ガイドライン 先天性大脳白質形成不全症 Pmdと類縁疾患に関するネットワーク
若年発症アルツハイマー型認知症が疑われた症例 日本メジフィジックス株式会社
脳が委縮し始めてますよ 都内に住んでいた30代の女性 Mri撮ってもらったら委縮していた 脳が委縮してまで東京に住み続ける理由があるんですか 彼女は現在京都で生活保護受けながら暮らしてます
この脳mriからは脳萎縮が認められますか 主治医に聞きなさい 萎縮は Yahoo 知恵袋
脳血流シンチ E Zis 初期アルツハイマー型認知症診断支援用
Q Tbn 3aand9gcqf3a6yw5f9pahgro Xroe 7146j8xas5crydfbdxyzpxidqcfb Usqp Cau
脳萎縮 T2 Mri症例写真 医療のイラスト 写真 動画 素材販売サイトのメディック Medick
脳ドック 赤江クリニック 内科 脳神経外科 Mri画像診断 射水市
頭は使えばよくなる は本当だった 40代からの脳力の磨き方 第1回 Wedge Infinity ウェッジ
三大認知症の一つであるレヴィ小体病の脳萎縮にもアミロイドが関連 量子科学技術研究開発機構
認知症ではどのような診察 検査をうけますか 基幹型認知症疾患医療センター 島根大学医学部附属病院
脳ドックのご案内 荒木脳神経外科病院 広島の脳卒中専門病院
笠松病院 早期アルツハイマー型認知症 Vsrad
公益財団法人 静岡県予防医学協会 ものわすれドック特設ページ
Jjtc862ggg5sqm
正常圧水頭症 Nph 大西脳神経外科病院
Untitled Document
東京慈恵会医科大学附属病院 脳神経外科 病気について てんかん 機能性疾患
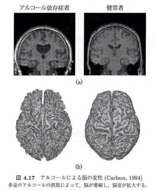
過度な飲酒 脳萎縮 招く 認知症の原因にも 脳ドック検診で確認を 日経bizgate
アルツハイマー型認知症の病態 とある精神科医のひとりごと
mri 磁気共鳴画像診断装置
68 認知症を理解するために 脳 循環器病あれこれ 国立循環器病研究センター 循環器病情報サービス
Med Cannabis Auf Twitter アルコールは脳を萎縮させることが知られています 対して大麻使用者の脳へのダメージは最新のmri解析をもってしても確認できていません 日本におけるアルコール依存症患者は600万人とも言われています 廃人になるのは大麻か酒か Http T
白室の変性と萎縮 急性脳症になりました
アルツハイマー型認知症と鑑別が必要な認知症疾患の画像所見 日本メジフィジックス株式会社
脳ドックのご案内 大阪中央病院
脳損傷 高次脳機能障害 交通事故専門弁護士相談 にわ法律事務所
症状と治療 川瀬神経内科クリニック
脳ドックについて Sbs静岡健康増進センター
じわじわ続くストレスで脳が傷つく うつチェック 3 3 日経aria
二木会blog 岡山画像診断センター
海馬のmri脳画像診断
認知症とは 認知症予防財団
症例4 診断と解説
脳ドック ご利用案内 吾妻脳神経外科循環器科
脳ドック しんむら整形外科クリニック
アルコール性認知症を専門家が徹底解説 お酒との正しい付き合い方も なかまぁる
先天性大脳白質形成不全症の画像診断 先天性大脳白質形成不全症 Pmdと類縁疾患に関するネットワーク
加齢で脳縮まっても 神経が機能補う 名大チーム解明 朝日新聞デジタル
症例4 診断と解説
脳萎縮と医原性認知症 Dr さむらのハイパー気まぐれ日記
症状と治療 川瀬神経内科クリニック
脳ドック 画像診断 医療法人 秀放会 仙台総合放射線クリニック
Http Www F Kpu M Ac Jp K Jkpum Pdf 121 121 12 Yamada Pdf
アルツハイマー病 認知症の診断 治療 近畿大学病院
認知症の症候学 御所ヶ谷ホームクリニック
認知症について 社会医療法人松藤会 入江病院
診察室 神経内科のお話し6
物忘れ外来 独立行政法人国立病院機構 甲府病院
Mri検査法とは 脳の学校 Mriで分かること 安全性について
脳画像で認知症を診断できると誤解していませんか 日経メディカル
Untitled Document
もの忘れ 認知症 アルツハイマー病の診断 治療 きくかわクリニック
脳 加齢で萎縮 でも機能は維持 神経細胞が助け合う 朝日新聞デジタル
アルツハイマー型認知症と鑑別が必要な認知症疾患の画像所見 日本メジフィジックス株式会社
脳とこころの病気について 名古屋大学 脳とこころの研究センター
脳ドック 脳神経外科 聖麗メモリアルひたちなか
脳の形態の変化 健康長寿ネット
神経内科 日本鋼管病院 こうかんクリニック 川崎市川崎区
片側大脳萎縮の鑑別疾患は I Wish To Become Another Bridge Between Myanmar And Japan
アルツハイマー型認知症 認知症を知ろう 鶴川サナトリウム病院 認知症疾患医療センター
鳥取生協病院 鳥取医療生活協同組合 脳mri健診の予約枠を拡大しました
Http Www F Kpu M Ac Jp K Jkpum Pdf 121 121 12 Yamada Pdf
もの忘れ外来 なかよし脳神経クリニック
認知症が気になる人に 海馬の萎縮をチェック 脳年齢ドックがスタート 中部経済新聞 愛知 岐阜 三重 静岡の経済情報
熊谷市のお得な 脳ドック助成金 をご存知ですか まつだ整形外科クリニック
Q Tbn 3aand9gcqf3a6yw5f9pahgro Xroe 7146j8xas5crydfbdxyzpxidqcfb Usqp Cau
多系統萎縮症 東邦大学医療センター佐倉病院 脳神経内科
赤ちゃんの脳の Mri スキャン 白質萎縮症の病気と発達あの ストックフォト Freeimages Com
診察室 神経内科のお話し46
Ct Mri画像あり 脳萎縮とは 症状や考えられる病気は 人間ドックの評判とホントのところ
脳ドック 認知症の画像診断 福井市の整形外科 リウマチ科 医療法人弘昭会 大森整形外科リウマチ科
Q Tbn 3aand9gcrq2liqrpqcg1izg1nsqrulut3cpeh1fsu9xxwnmwafyaskdfzd Usqp Cau
新連載 ココロとカラダの痛みのための邪道な心理療法養成講座 カラー画像アーカイブ 粳間メンタルリハビリテーション研究所 一般社団法人iadlのブログ
対象疾患 てんかんセンター 順天堂医院
多発性硬化症 関西多発性硬化症センター
指名講演 実臨床における画像診断の役割 脳神経内科 精神科領域 千葉先生 横浜舞岡病院 日本メジフィジックス株式会社
脳形態画像からアルツハイマー型を鑑別できる 日経メディカル
Mri検査法とは 脳の学校 Mriで分かること 安全性について
アルツハイマー型認知症と鑑別が必要な認知症疾患の画像所見 日本メジフィジックス株式会社
コホートのご紹介 名古屋大学 脳とこころの研究センター
第2回 髄膜がわかると病気がみえてくる 症例から学ぶ髄膜とその周辺構造 羊土社
認知症 東邦大学医療センター佐倉病院 脳神経内科
脳萎縮 T1 Mri症例写真 医療のイラスト 写真 動画 素材販売サイトのメディック Medick
大脳皮質基底核変性症 Cbd のmri画像診断 症状 認知症 治療


